Featured Case 12/20: SMILE RECONSTRUCTION
Patient:
Hope, a 25-year-old.
The problem:
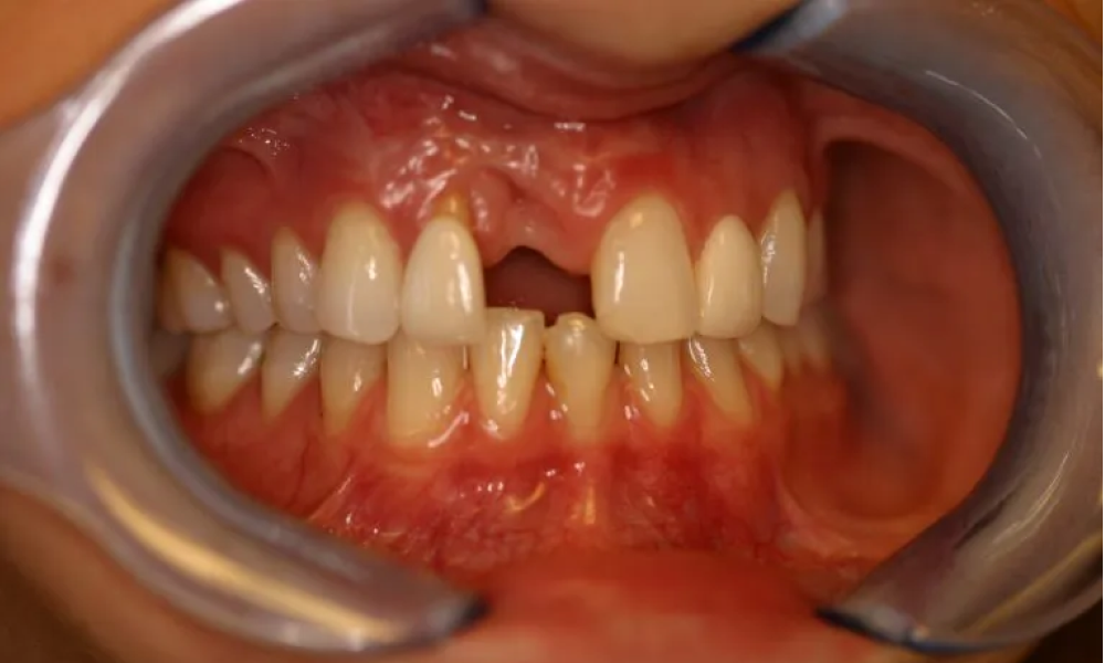
- Missing her front tooth/teeth and has a significant recession of gum tissue.
- Hope was told by previous dentists the tooth next to the missing tooth also needed to be extracted.
- The only solution offered was a removable partial denture to replace the 2 missing teeth.
- Previous dentists informed her that no other options were feasible in her case.
Patient History:
- Hope experienced blunt facial trauma as a child.
- This resulted in injury to her upper jaw and front teeth.
- 3 years before seeing us, her dentist extracted tooth #8 (Right central incisor) due to infection.
- They informed her that #7 also needed to be removed and a partial denture was her only available option for tooth replacement.
- She was distraught and dejected over her condition and the lack of aesthetic and permanent options.
Pertinent Information:
- Aesthetic cases like this can be deceptively the most challenging.
- Clearly, this presented both a functional and aesthetic problem for this young and attractive young lady.
- She presents with a composite (involving 3-dimensional hard and soft tissue) defect of her upper anterior jaw that was visible when smiling.
- Composite defects in the “smile zone” are very challenging to recreate natural-appearing tissue replacement.
- One of the most challenging elements of smile reconstruction is vertical tissue regeneration—particularly the interdental papillae (pointy gums between teeth).
- 2 implants next to each other in the anterior are frequently positioned with less than 3 mm between implants.
- When there is less than 3 mm between implants, it is relatively impossible to re-create any semblance of a papilla.
- Reconstruction is ultimately designed to recreate natural-appearing hard (bone and teeth) and soft (gums/gingiva) tissue that is aesthetic, functional, and lasting.
Procedures:
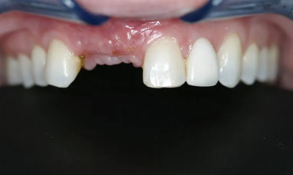
- The patient started with orthodontics (braces) to extrude or bring down tooth #7 and the associated gingival (gum) tissue.
- The crown on #7 was removed and the root retained to preserve the regional bone.
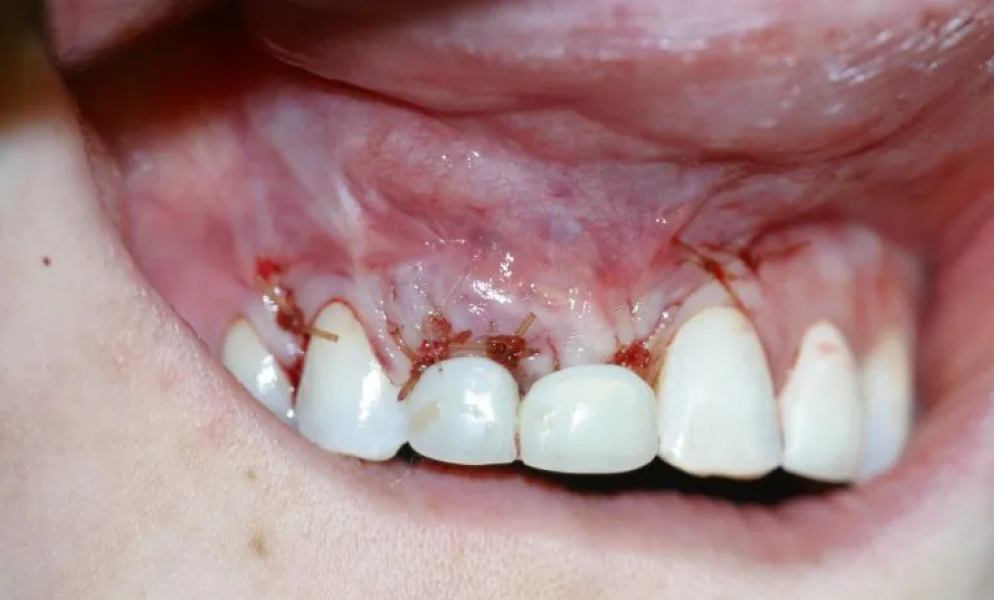
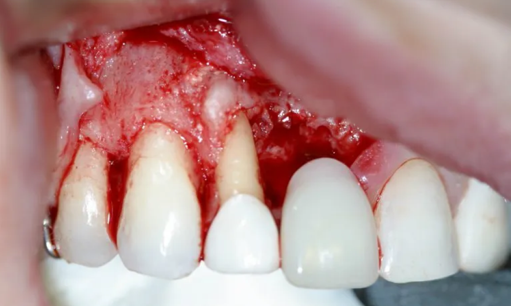
- A “tenting” screw was placed at site #9 to support the overlying tissue reconstruction.
- A soft tissue graft was performed to reconstruct the gingival architecture in the area.
- After soft tissue healing, a dental implant was placed at site #8.
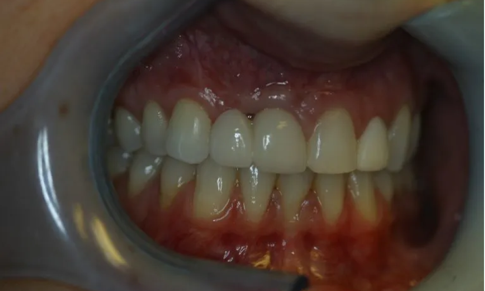
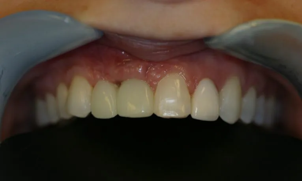
- A temporary prosthesis was attached to implant #8 with a cantilevered tooth (pontic) #7.
- This temporary prosthesis was critical to developing and shaping the gingival architecture in preparation for final teeth.
- A final restoration was then placed by her primary dentist.
Commentary:
- The best chance for a good outcome is achieved with an interdisciplinary approach to treatment.
- These cases involving front teeth defects are some of the most difficult of all facial reconstructive procedures.
- A well-orchestrated and coordinated plan is conducted by close and explicit communication by all treatment team members.
- These cases require careful attention to minor details by each team member.
- Having realistic expectations is essential for a satisfied patient experience.
- We spent a significant amount of time preparing Hope to understand what was realistically achievable and what to expect along the way.
- Sometimes, the success of such a case depends on the acceptance of biological limitations.
- Communicating these limitations before embarking on treatment is critical to a satisfactory patient experience.
- The experience of the treatment team and how planning is communicated are critical elements of success.
Before & After
Learn More
We look forward to delivering the highest level of care to you and your loved ones. Click the buttons below to find out what to expect at your first visit, learn more about the services we offer, or contact us.













